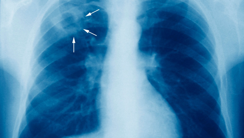
După două decenii de scădere neîntreruptă, numărul deceselor provocate de tuberculoză a crescut în Europa, a avertizat vineri Organizaţia Mondială a Sănătăţii (OMS).
În 2021, această boală pulmonară a ucis 27.300 de europeni, comparativ cu 27.000 în anul precedent, potrivit celor mai recente date disponibile. Cu 4.900, respectiv 3.600 de decese estimate, Rusia şi Ucraina sunt ţările cele mai afectate.
Potrivit OMS, această creştere a fost cauzată de relaxarea procedurilor de diagnosticare în timpul lockdownurilor asociate pandemiei de COVID-19 şi de răspândirea unei tulpini de tuberculoză care este rezistentă la un antibiotic prescris împotriva acestei boli.
Este pentru prima dată în 20 de ani când tendinţa de scădere a fost inversată, a precizat OMS.
În cele 53 de ţări din regiunea OMS Europa, care acoperă şi Asia Centrală, aproximativ 230.000 de persoane au contractat tuberculoză, o boală cauzată de o bacterie ce atacă în principal plămânii - acest total rămânând totuşi în scădere în raport cu anii precedenţi.
"Creşterea numărului de decese cauzate de tuberculoză în 2021 este, foarte probabil, o consecinţă a întârzierii sau a absenţei diagnosticării tuberculozei din cauza unei perturbări a serviciilor medicale în timpul pandemiei de COVID-19"a precizat OMS Europa.
În plus, prevalenţa tuberculozei rezistente la medicamente a crescut de asemenea pe scară largă, întrucât o treime din cazurile diagnosticate au fost cazuri de tuberculoză rezistentă la Rifampicină în 2021.
La nivel mondial, OMS s-a declarat deja îngrijorată în octombrie 2022 din cauza unei creşteri similare, înregistrată tot pentru prima dată în ultimii 20 de ani, a noilor cazuri de tuberculoză depistate în 2021.
