Un ac de cusut a fost descoperit în creierul unei femei de 80 de ani din Rusia, potrivit autorităților locale, care au precizat că cel mai probabil părinții ei au încercat să o omoare la naștere, informează Insider.
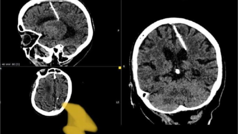
Ministerul Sănătății din regiunea Sahalin a scris pe Telegram că radiologii locali au descoperit un ac de trei centimetri cu ajutorul unei radiografii. Postarea nu dezvăluia când doctorii au făcut această descoperire, dar preciza că incidentul a avut loc în 2023.
Acul a fost descoperit în lobul parietal stâng al femei a cărei nume nu a fost dezvăluit. Oficialii au spus că acul a rămas în creierul femeii încă de la naștere, atunci când doctorii cred că părinții ei au încercat să o omoare.
În vreme de război, unii părinți ajungeau într-o situație atât de disperată încât încercau să omoare nou-născutul prin inserarea unui ac într-o zonă moale a capului, acolo unde oasele craniului nu s-au format încă pe deplin, a scris ministerul.
Acel loc, numit fontanelă, se închide apoi și ascunde acul, bebelușul urmând apoi să moară. „Astfel de cazuri nu erau neobișnuite în anii de foamete”, a adăugat ministerul.
Femeia, acum în vârstă de 80 de ani, s-a născut probabil în jurul anului 1943. Ea a supraviețuit tentativei de infanticid și nu a suferit niciodată dureri de cap din cauza acului.
Doctorii au spus că nu îi vor scoate acul din cap întrucât operația ar putea să îi agraveze starea de sănătate, potrivit ministerului. Femeia este monitorizată de un doctor, iar viața ei nu este pusă în pericol.
Sahalin este o insulă din sud-estul îndepărtat al Rusiei cu o populație de aproximativ 500.000 de oameni. Se află în Marea Ohotsk, la nord de insula japoneză Hokkaido.
Teritoriul a fost disputat de Uniunea Sovietică și Imperiul Japonez la începutul secolului al XX-lea, dar insula a fost complet ocupată de Moscova în timpul celui de-al Doilea Război Mondial.
