Paris, capitala Franţei. 2,1 milioane de locuitori şi doar 515 bolnavi de tuberculoză. Bucureşti, capitala României. 1,9 milioane de locuitori şi aproape 1.700 de bolnavi de tuberculoză. Adică de trei ori mai mulţi.
Nicio altă capitală europeană nu are atât de mulţi bolnavi. Doar la Londra sunt 3.500 de persoane infectate, dar populaţia acestui oraş ajunge la aproape opt milioane de locuitori. Aceste date îngrijorătoare apar într-un studiu realizat de specialişti de la Centrul European pentru Prevenirea Bolilor Transmisibile.
„Tuberculoza pulmonară în România este situată la un nivel foarte ridicat de foarte mult timp. Este cam de zece ori mai mare incidența noastră faţă de media din Uniunea Europeană”, spune medicul pneumolog Constantin Marica.
Tuberculoza afectează în medie 80 de bucureşteni la fiecare 100.000 de locuitori. Unul dintre cei bolnavi de TBC este şi Vasile Stoica. A descoperit boala din întâmplare.
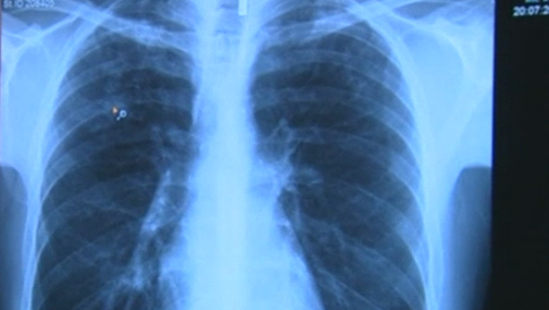
„Am simțit că slăbesc foarte tare, tuşeam noaptea extraordinar de mult şi transpiram. Am fost nevoit să merg la medicul de familie, medicul de familie mi-a dat să fac o radiografie şi la radiografie a reieşit asta”, povestește el.
Tuberculoza era considerată boala sărăciei. Îi afecta pe cei care nu aveau un loc de muncă, trăiau în condiții precare și se hrăneau prost. Într-un oraș ca Bucureștiul, profilul se schimbă: mulți pacienți sunt tineri, dar munesc mult, sunt stresați și obosiți și nu mai au grijă de sănătate.
Medicii atrag atenţia şi în legătură cu tipul de tuberculoză tot mai frecvent printre bolnavi. În toată ţara sunt deja 1.500 de cazuri de TBC rezistent la antibiotice, o formă mult mai gravă şi mult mai scump de tratat. Dacă tuberculoza normală se tratează în şase luni, iar pastilele costă 100 de euro pe lună, vindecarea de tuberculoza numită multidrog, care cedează doar după administrarea îndelungată a două medicamente, durează doi an. Costurile tratamentului ajung la 6.000 de euro pe lună.
