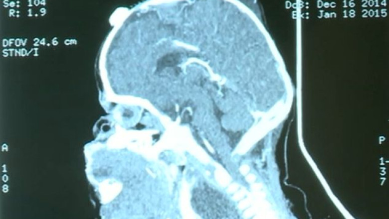
Casiana s-a născut la jumătatea lunii trecute, la Feteşti. Este al cincilea copil al familiei, dar bucuria părinţilor s-a transformat repede în îngrijorare. Fetiţa a venit pe lume cu o tumoră gigant, care nu a fost descoperită la controalele din timpul sarcinii.
Imediat după naştere, Casiana a fost trimisă de urgenţă la Spitalul Marie Curie din Bucureşti. Deşi nu mai văzuseră un caz atât de grav, medicii au decis să o opereze. Era singura şansă a fetiţei. Au cerut ajutorul specialiştilor din Statele Unite ale Americii, care au răspuns imediat apelului. Intervenţia chirurgicală, care s-a făcut pentru prima dată în România, a durat opt ore şi a fost un succes. Medicii au reuşit să extirpe tumora care o sufoca pe copilă.
De când s-a născut, Casiana respiră doar cu ajutorul aparatelor. Acum, după operaţie, medicii o vor mai ţine intubată cel puţin o săptămână, după care speră că fetiţa va putea să respire singură.
„După șase luni o să arate cu totul şi cu totul altfel. Este posibil să fie nevoie şi de alte intervenţii chirugicale. Cam toate cele care implică excizii mari în zona gâtului, în zona feţei, probabil că este nevoie şi de alte intervenţii”, a declarat Cătălin Cârstoveanu, şeful secţiei ATI a Spitalului „Marie Curie”.
Medicii americani au operat benevol. De cheltuielile lor cu drumul şi cazarea s-a ocupat o asociaţie neguvernamentală, prezentă mereu să dea o mână de ajutor copiilor internaţi la Spitalul Marie Curie.
„Ei au fost foarte binevoitori în cazul ăsta, şi-au cumpărat singuri bilete, dar noi ne-am oferit să le decontăm ca să facem atâta lucru, să le oferim transportul şi cazarea”, a spus Alexandru Popa, preşedintele Asociaţiei Inima Copiilor.
Medicii sunt în continuare optimişti. Din punctul lor de vedere, Casiana are şanse mari să ducă o viaţă normală iar cicatricea postoperatorie să se estompeze cu ajutorul intervenţiilor de chirurgie plastică. Dacă ar fi întocmit cineva factura intervenţiei de îndepărtare a tumorii, costurile ar fi ajuns la sute de mii de euro. Un preţ pe care părinţii nu l-ar fi putut plăti niciodată.
